awillbu1 Mehlräsling, Mehlpilz, Großer Mehlräsling, Moosling, Großer Musseron,            ESSBAR!   ...sehr guter Speisepilz - immer auf Mehlgeruch achten.

Pflaumenpilz, Pflaumen-Räsling, Simmerling, Pflaumen-Rässling, Le Meunier      

CLITOPILUS PRUNULUS (SYN. CLITOPILUS PRUNULUS VAR. AMARUS, PAXILLUS PRUNULUS, AGARICUS PRUNULUS, PLEUROPUS PRUNULUS, PAXILLOPSIS PRUNULUS)

 

Mehlraes2

Mehlraes

MehligerRaesling

Bilder oben 1 und unten 1-3 von links: Dieter Wächter (Thiersheim) ©

Mehlraes3

Mehlraes5

MehlraeslinDSPP

Mehl-ras4

 

Eigenschaften, Erkennungsmerkmale, Besonderheiten, (Gattungen):

Geruch:

Stark mehlartig, verletzt sehr stark gurkig, mit Nassmehl-Komponente, beim Abtrocknen eher käsig-mehlig. Gut kann der Geruch wahrgenommen werden, wenn die Lamellen verschoben werden.

Geschmack:

Stark mehlartig, mild.

Hut:

2-15 (20) cm Ø, weiß, grauweiß, braungrau, Oberfläche fein bereift, samtig. Mitte unregelmäßig vertieft, teilweise mit leichten Buckeln. Rand eingerollt, wellig, Kanten leicht zerbrechlich. Beim Drücken auf Hut bleibt oft der Fingerabdruck sichtbar. Beim Bleiweißen Trichterling ist diese mehr glasig.

Fleisch:

Weiß, fest, zart, weich, brüchig.

Stiel:

2-10 (18) cm lang, bis zu 1,5 (2) cm Ø dick, weiß, dick, voll, Basis weißfilzig.

Lamellen:

Weiß, mit leichtem Gelb- oder Rotton, angewachsen, herablaufend, relativ biegsam und weich. Mit verkürzten Zwischenlamellen, schmal, leicht verschiebbar und ablösbar.

Sporenpulverfarbe:

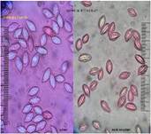
Rosa, rosabraun, helles braunrosa (8,5-12 x 4-6,5 µm, spindelig-elliptisch, mit scharf abgewinkelten Enden, glatt, mit 6-7 Längsrippen. Basidien 25-47 x 7-12 µm, viersporig. Zystiden nur sporadisch, meist fehlend, Septen ohne Schnallen. Pileipellis eine Cutis oder Ixocutis aus 3-6 µm breiten Elementen, Hymeniale Zystiden fehlen).

Vorkommen:

Mischwald, Symbiosepilz, parasitärer Pilz und vermutlich ebenso ein Folgezersetzer (Saprophyt), teilweise ist diese Festlegung unterschiedlich erforscht worden, Frühsommer bis Spätherbst.

Gattung:

Räslinge (Rötlingsverwandte).

Verwechslungsgefahr:

Weißer Trichterling (stark giftig), Bleiweißer Trichterling (stark giftig), Rinnigbereifter Trichterling (stark giftig) = Sporenpulver bei diesen Arten jedoch weiß bis leicht gelblich, niemals rosa wie beim Mehlräsling!

Außerdem fast identisch ist der Weiße Rasling (gen-giftig) oder der nicht nach Mehl riechende Zystidenräsling.

Chemische Reaktionen:

Mit KOH auf Hut keine Verfärbung.

Besonderheit:

Der Mehlräsling in Verbindung mit Fliegenpilz und Pfefferröhrling garantiert sozusagen, dass in unmittelbarem Bereich eines Tages Steinpilze wachsen. Top 1 Steinpilzzeiger!

Das Steinpilzmyzel benötigt vermutlich gleiche Bodenverhältnisse, genauer gesagt, der Mehlräsling ist mit dessen Myzel verbunden. Obendrein wurde beobachtet, dass weitere parasitäre Verbindungen mit Dickröhrlingen wie diversen Hexenröhrlingen oder dem Wurzelnden Bitterröhrling möglich sein können.

Kommentar:

Wer Mehlräslinge kennenlernen will, sollte den Umgang mit der Sporenpulverfarbe bei Pilzen lernen.

Bei einem unserer Pilzseminare hatten wir an einem Tisch Mehlräslinge und vier Rinnigbereifte Trichterlinge in einem Pilzhaufen zur Kontrolle liegen. Sie sahen diesen Mehlräslingen so ähnlich, dass nur der Geruchstest sie unterscheiden ließ. Sie rochen und schmeckten absolut nicht nach Mehl. Die späteren Sporenabdrücke (rosa zu weiß) ließen im Vergleich mit den anderen fast gleich aussehenden Mehlräslingen die Teilnehmer schockieren.

Ganz eindeutig hatten die Rinnigbereiften Trichterlinge weißes und die Mehlräslinge rosa Sporenpulver!
Als Zweitbestätigung mikroskopierten wir diese und es gab keine Zweifel, es waren die giftigen Rinnigbereiften Trichterling.
Beim Sammeln von Mehlräslingen muss besonders auf Geruch und Geschmack (sowie weitere Merkmale) geachtet werden. Weiße Trichterlinge, wie der Feldtrichterling, fanden wir noch nie mit deutlichem Mehlgeruch.

Relativer Speisewert:

Schweiz: Marktfähig; DGfM: Positivliste Speisepilz; 123pilze: Relative Wertigkeit 1.

Wiki-Link:

https://de.wikipedia.org/wiki/Mehl-Räsling

Priorität:

1

 

Mehlraes4

Mehl-ras2

Mehl-ras3

 

Mehl-ras5

Mehl-ras6

 

Mehl-ras

 

Bild oben 1 von links: Dieter Wächter (Thiersheim) ©   Bilder oben 7-8und unten 5-8 von links: Dr. Herbert Seiler (85402 Kranzberg) ©   Bilder unten 2-4 von links: Georg Probst ©

 

 

 

   Weitere Bestimmungshilfen und Informationen hier:

 

 

 

 

 

 

 

 

 

   Letzte Aktualisierung dieser Seite: Montag, 8. September 2025 - 12:22:42 Uhr

“

“