awillbu1  Stacheliger Krustenhöckerpilz                         UNGENIESSBAR! 

EUTYPA SPINOSA (SYN.SPHAERIA SPINOSA)

 

 

 

 

Fotos oben 1-4 und unten 1-7 von links: Dr. Georg Dünzl (München) ©                                            

 

 

 

 

 

Eigenschaften, Erkennungsmerkmale, Besonderheiten, (Gattungen):

Geruch:

Neutral.

Geschmack:

Unbedeutend.

Fruchtkörper:

Ca. 1-10 (> 25) cm Ø, braunschwarz, im Alter schwarz, krustenförmig,  in unregelmäßigen Gruppen oder palisadenförmig auftretend. Rasig mit sternförmiger Habitusspitze, Ascokarpien-Perithecien, 600–700 µm.

Dieser Pilz sieht von oben aus wie die Kreuzschlitz-Bits aus dem Werkzeugkasten.

Fleisch:

Schwarz.

Stiel:

Fehlt, am Substrat aufliegend.

Sporenpulverfarbe:

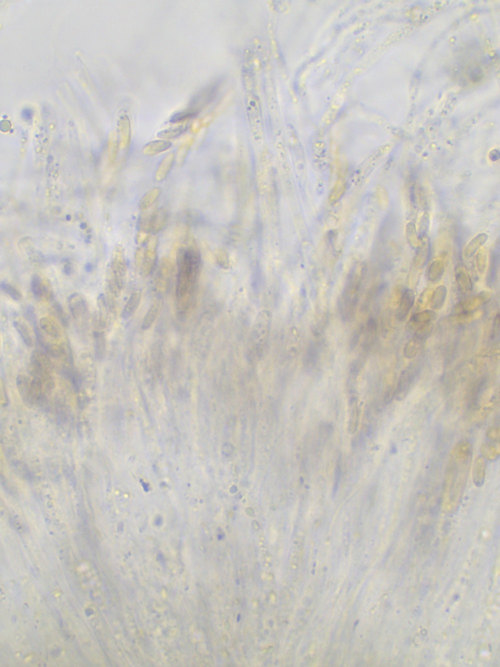
Hellbraun (5,4 x 9.1 µm, hyalin, dünnwandig und glattwandig, ohne Epispore oder Gallerthülle,  unregelmäßig geformt, aber +/- zylindrisch. Asci 24-35 x 5-6 µm. Konidien 10,5-18 x 2-3 µm, Konidienbildende Asci 11,5-21 x 2,5-4 µm,  tragender Teil mit langen, sich verjüngenden Stiel von 35-75 µm Länge und einem kleinen, in Jod blau färbenden apikalen Ring, 8-sporig.  Ostiolen einzeln hervortretend, 200-400 µm).

Vorkommen:

An Ästen, Stämmen von Laubhölzern, Osthölzern, Weinreben, seltener an Buchen, Folgezersetzer, ganzjährig.

Gattung:

Kohlenbeeren, Kugelpilze (Eutypios).

Verwechslungsgefahr:

Ahorn-Kohlenkrustenpilz, Münzenförmige Kohlenbeere, Gerandeter Rindenkugelpilz, Vielgestaltige Kohlenbeere, Zusammengedrängte Kohlenbeere (kleiner und meist rundlicher), Brandfladen Kohlenbeere, Buchenkugelpilz.

Bemerkung:

Der Stacheliger Krustenhöckerpilz  (EUTYPA SPINOSA = Eutypiose, Pilz Eutypa) ist eine verursachte Holzkrankheit. Sie führt zu erheblichen Holzschäden, vor allem wenn diese bei Ostbäumen oder Weinreben auftritt. Bekannt wurde er erstmals als Verursacher der Apoplexie bei der Aprikose oder Weinrebe, die teilweise als Hauptwirt des Pilzes gilt.

Wiki-Link:

https://de.wikipedia.org/wiki/Eutypiose

Priorität:

2


 

 

Fotos oben 1-6 von links: Dr. Georg Dünzl (München) ©

 

   Weitere Bestimmungshilfen und Informationen hier:

 

 

 

 

 

 

 

 

 

   Letzte Aktualisierung dieser Seite: Montag, 23. März 2026 - 08:57:40 Uhr