awillbu1  Leuchtender Weichporling, Leuchtender Weichporenschwamm, Orangefarbener Weichporling                  UNGENIESSBAR! 

PYCNOPORELLUS FULGENS (SYN. HYDNUM FULGENS, HAPALOPILUS FIBRILLOSUS, PHAEOLUS FIBRILLOSUS, PYCNOPORELLUS FIBRILLOSUS, POLYPORUS FIBRILLOSUS,

MICROPORUS LITHUANICUS, MICROPORUS AURANTIACUS, INODERMA FIBRILLOSUM, INONOTUS FIBRILLOSUS, POLYPORUS AURANTIACUS, PHAEOLUS AURANTIACUS, POLYPORUS LITHUANICUS, POLYSTICTUS LITHUANICUS, POLYSTICTUS AURANTIACUS)

 

 

 

 

 

 

 

LeuchtenderWeichpoling6

LeuchtenderWeichpoling4

LeuchtenderWeichpoling5

 

 

Bilder oben 7+8 von links: Walter Bethge (Landau) ©  Fotos oben 3-5 von links: Roswitha Wayrethmayr (Sankt Gilden) ©

Eigenschaften, Erkennungsmerkmale, Besonderheiten, (Gattungen):

Geruch:

Etwas säuerlich.

Geschmack:

Unbedeutend, unangenehm.

Fruchtkörper, Hut:

3-8 (12) cm Ø, leuchtend orangerot, orangegelb, rotorange, jung kugelig, später flach, konsolenförmig, gezont, jung glatt, später filzig, weich, Rand heller, Zuwachszone orange bis gelb.

Fleisch:

Gelblich, orangerot, zäh, jung weich, saftig.

Stiel:

Fehlend, am Substrat flach angewachsen.

Röhren, Poren:

1-3 mm Ø, gelblich, orangegelb, am Rand oft heller, rundlich eckig bis teils zerschlitzt.

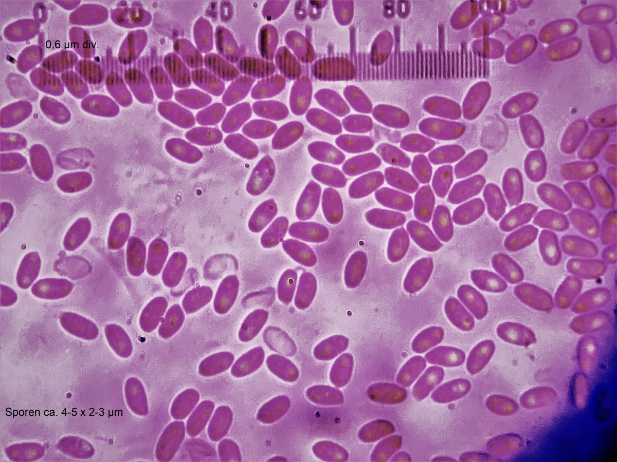
Sporenpulverfarbe:

Weiß (6-9,4 x 2,5-4,4 µm, hyaline in KOH, inamyloid, hyalin, zylindrisch bis lang ellipsoid, glatt, relativ dickwandig, Zystiden 45-60 x 4-6 µm, Septen ohne Schnallen).

Vorkommen:

Totholz, Bauholz, meist Nadelholz, gern Weißtanne, Folgezersetzer, Braunfäuleauslöser, Sommer bis Spätherbst.

Gattung:

Porlinge, Weichporlinge.

Verwechslungsgefahr:

Duftender Goldporling (mit KOH nicht verfärbend), Zimtfarbiger Weichporling, Schwefelporling, Fenchelporling (mit Fenchelgeruch).

Chemische Reaktionen:

Fleisch mit KOH (Kaliumhydroxid) weinrot verfärbend.

Wiki-Link:

https://de.wikipedia.org/wiki/Baumschwammverwandte

Priorität:

2

 

LeuchtenderWeichpoling3

LeuchtenderWeichpoling2

LeuchtenderWeichpoling9

 

 

Bilder oben 1+2 von links: Klaus Stangl (Bindlach) ©

LeuchtenderWeichpoling

LeuchtenderWeichpoling7

 

 

Fotos oben 1-3 von links: Gerhard Koller ©   Foto oben 6 von links: Roswitha Wayrethmayr (Sankt Gilden) ©

LeuchtenderWeichpoling8

 

Bilder oben 4-8 von links: Dr. Herbert Seiler (85402 Kranzberg) ©

 

 

   Weitere Bestimmungshilfen und Informationen hier:

 

 

 

 

 

 

 

 

 

   Letzte Aktualisierung dieser Seite: Donnerstag, 26. März 2026 - 08:03:55 Uhr

“